


Conception
Updated on 23 October 2023
The road to conception and pregnancy can be a straight and smooth one for some couples but often a long, winding path for others. On this course to pregnancy, couples come across a dictionary-worth of fertility jargon and it becomes important to have a basic understanding of it. One such term that women pursuing fertility treatments may hear often is trilaminar endometrium. But what is it and how does it impact their reproductive health?
In this article, we will understand trilaminar meaning, its association with endometrium, its significance in a woman’s fertility journey and its impact on her chances of pregnancy.
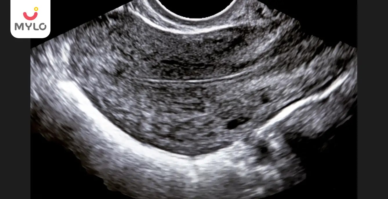
"Trilaminar" refers to something that is composed of three layers or has a three-layered structure. In the context of medicine, the term "trilaminar" is often used to describe the appearance of the endometrium, which is the inner uterine lining.
The endometrium, which is the innermost lining of the uterus, normally consists of two layers during most of the menstrual cycle. However, during the fertile window, the endometrium becomes trilaminar, meaning it develops a third layer. This third layer, known as the hyperechoic middle layer, is crucial for successful implantation of a fertilized egg.
You may also like: Normal Endometrial Thickness: A Key Indicator of Female Fertility
Here are five factors that play a role in the formation of triple line or trilaminar in the endometrium:
Hormones, such as estrogen and progesterone, play a vital role in the development and thickening of the endometrium. An imbalance in these hormones can hinder the formation of triple lining in the endometrium.
Irregular menstrual cycles can disrupt the normal hormonal fluctuations necessary for the development of trilaminar in the endometrium.
As women age, the quality and thickness of the endometrium may decrease, making it harder to achieve trilaminar uterine lining.
Structural abnormalities, such as fibroids or polyps, can interfere with the formation of trilaminar inner uterine lining.
Any inflammation or infection in the uterus can disrupt the normal development of the endometrium, preventing it from becoming trilaminar.
You may also like: Endometrial Hyperplasia: The Ultimate Guide to Understanding Its Causes and Treatment
Triple line endometrium is of utmost importance for successful implantation and pregnancy. Here are five reasons why it is crucial:
The trilaminar lining in the uterus provides an ideal environment for the fertilized egg to receive the necessary nutrients and support for implantation and early embryo development.
The hyperechoic middle layer of the trilaminar uterine lining ensures a robust blood supply to the developing embryo for proper nourishment and growth.
Triple line endometrium means hormonal synchronization and balance, which is essential for successful implantation and pregnancy.
Studies have shown that women with trilaminar endometrial patterns have a lower risk of miscarriage compared to those with abnormal endometrial patterns.
Trilaminar is associated with higher success rates in in vitro fertilization (IVF) procedures, making it a crucial factor for couples undergoing fertility treatments.
Achieving trilaminar or triple layers in the uterine lining is possible with the right approach. Here are five ways to help you achieve trilaminar in the endometrium:
For women with hormonal imbalances, hormone therapy can help regulate the hormonal fluctuations necessary for the development of trilaminar in the endometrium.
Maintaining a healthy lifestyle, including a balanced diet, regular exercise, and managing stress, can positively impact.
If structural abnormalities, such as fibroids or polyps, are present, it is important to address them through surgical intervention to improve the chances of achieving trilaminar uterine lining.
Treating any inflammation or infection in the uterus is crucial to create a favorable environment for the development of triple line endometrium.
In some cases, assisted reproductive technologies such as IVF may be necessary to achieve trilaminar and increase the chances of successful implantation.
You may also like: Bulky Uterus: What You Need to Know About this Common Gynecological Issue
The presence of triple line endometrium is generally considered a positive sign for fertility. It indicates that the uterus is prepared for successful implantation and pregnancy. However, many women have successfully conceived without a triple line in the endometrium. It is just one of the factors that contribute to fertility and should be considered alongside other factors.
The endometrium typically becomes trilaminar during the fertile window, which occurs around the middle of the menstrual cycle and is characterized by a surge in estrogen levels. Monitoring the thickness and appearance of the endometrium through ultrasound scans can help determine if it has become trilaminar.
Trilaminar endometrium provides an optimal environment for successful implantation and pregnancy. While achieving trilaminar uterine lining may require addressing hormonal imbalances, maintaining a healthy lifestyle, and sometimes seeking fertility treatments, it is important to remember that fertility is a complex interplay of various factors. Consulting with a healthcare professional specializing in reproductive medicine can provide personalized guidance and support on the journey to parenthood.
Zhao J, Zhang Q, Li Y. (2012). The effect of endometrial thickness and pattern measured by ultrasonography on pregnancy outcomes during IVF-ET cycles.
Giri SK, Nayak BL, Mohapatra J. (2021). Thickened Endometrium: When to Intervene? A Clinical Conundrum. J Obstet Gynaecol India.
Yes
No

Written by
Anandita Sharma
Drawing on more than a decade of expertise in administration, Anandita Sharma currently serves as a content operations e
Read MoreGet baby's diet chart, and growth tips







Kanchanar Guggulu: Your Ultimate Guide to a Healthy Lifestyle

First Trimester of Pregnancy

Top 10 Comedy Movies on Hotstar to Make You Laugh Your Heart Out

Stages of Pregnancy by Trimester

Your Streaming Guide to the Best Web Series on Hotstar in Hindi

Top Romantic Movies on Hotstar That'll Melt Your Heart

Mylo wins Forbes D2C Disruptor award

Mylo wins The Economic Times Promising Brands 2022















baby carrier | baby soap | baby wipes | stretch marks cream | baby cream | baby shampoo | baby massage oil | baby hair oil | stretch marks oil | baby body wash | baby powder | baby lotion | diaper rash cream | newborn diapers | teether | baby kajal | baby diapers | cloth diapers |